Understanding ER, PR, And HER2 Positive Breast Cancer

N.Austinpetsalive 93 views
Understanding ER, PR, And HER2 Positive Breast Cancer

Understanding ER, PR, and HER2 Positive Breast Cancer

Hey everyone! Let’s dive into a topic that’s super important in the world of breast cancer: ER, PR, and HER2 positive breast cancer . You might have heard these terms thrown around, and if you or someone you know has been diagnosed, understanding what they mean is a big deal. These aren’t just random letters; they’re crucial indicators that guide treatment decisions and help doctors predict how a cancer might behave. So, buckle up, guys, because we’re going to break down what these markers are, why they matter, and how they shape the journey for patients.

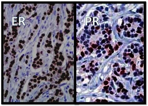
What Exactly Are ER, PR, and HER2?

Alright, let’s get down to the nitty-gritty. ER stands for Estrogen Receptor, PR stands for Progesterone Receptor, and HER2 is Human Epidermal growth factor Receptor 2. Think of these as tiny little proteins found on the surface of or inside breast cancer cells. Their presence or absence is determined through testing on a sample of the tumor, usually done as part of a biopsy. Estrogen and progesterone receptors are like little docking stations for the hormones estrogen and progesterone. When these hormones attach to the receptors on cancer cells, they can act like fuel, telling the cancer cells to grow and multiply. If a breast cancer has a lot of these receptors, it’s called hormone receptor-positive (HR-positive), and this type of cancer is often fueled by estrogen and/or progesterone. On the flip side, HER2 is a protein that plays a role in cell growth and survival. When cells make too much of the HER2 protein, or have too many copies of the HER2 gene, the cancer cells can grow and divide more rapidly. This is known as HER2-positive breast cancer.

The Significance of Hormone Receptor Status (ER/PR Positive)

So, when we talk about ER-positive (ER+) or PR-positive (PR+) breast cancer, we’re referring to cancers that have these receptors. The vast majority of breast cancers, around 70-80%, are hormone receptor-positive. This is actually pretty good news, guys, because it means we have specific treatments that can target these receptors. For ER+ and PR+ breast cancers, treatments like hormone therapy (also called endocrine therapy) are super effective. These therapies work by either lowering the amount of estrogen in the body or by blocking estrogen from reaching the cancer cells. Think of it like cutting off the fuel supply to a fire. Medications like tamoxifen, aromatase inhibitors (like letrozole, anastrozole, and exemestane), and ovarian suppression are common examples. These treatments can significantly slow down or stop the growth of hormone-sensitive breast cancers. It’s crucial to remember that even if a cancer is ER-positive, it might not be PR-positive, and vice-versa, or it could be positive for both. The specific combination still influences treatment, but generally, any ER or PR positivity opens the door to hormone-targeted therapies. The effectiveness of these treatments means that many ER/PR-positive breast cancers tend to grow more slowly than hormone receptor-negative cancers. However, it’s still a serious diagnosis, and ongoing monitoring is always key. Doctors will look at the percentage of cells that are positive for these receptors, as this can sometimes give more clues about the cancer’s behavior and how it might respond to different treatments. This information is absolutely vital for developing a personalized treatment plan.

Understanding HER2-Positive Breast Cancer

Now, let’s chat about HER2-positive (HER2+) breast cancer. This type of cancer is a bit different. Only about 15-20% of all breast cancers are HER2-positive. These cancers tend to grow and spread more aggressively than HER2-negative cancers, and historically, they were associated with a poorer prognosis. However, guys, this is where a massive breakthrough in treatment has occurred! The development of HER2-targeted therapies has completely revolutionized the outlook for people with HER2-positive breast cancer. These targeted drugs, like trastuzumab (Herceptin), pertuzumab (Perjeta), and ado-trastuzumab emtansine (Kadcyla), specifically attack the HER2 protein on cancer cells, either by blocking its growth signals or by flagging the cancer cells for destruction by the immune system. These therapies have dramatically improved survival rates and quality of life for patients. It’s important to note that a cancer can be HER2-positive and hormone receptor-positive. This is called HER2-positive, hormone receptor-positive (HER2+ HR+) breast cancer. This combination requires a multi-pronged treatment approach, often involving both hormone therapy and HER2-targeted therapy, along with chemotherapy. The testing for HER2 status is usually done using a technique called immunohistochemistry (IHC) and sometimes fluorescence in situ hybridization (FISH) to confirm the results. The IHC test measures the amount of HER2 protein on the cancer cells, while FISH checks for the number of HER2 genes. These tests help doctors determine if a cancer is HER2-negative, weakly positive (equivocal), or strongly positive. Clarifying this status is non-negotiable for effective treatment planning.

The Different Combinations and Their Implications

So, what happens when we put these markers together? This is where things get really interesting and personalized. We’ve got a few main categories that are super important for doctors to figure out:

1. ER-Positive, PR-Positive, HER2-Negative (HR+/HER2-)

This is the most common type of breast cancer, making up a significant chunk of all diagnoses. When your cancer is ER-positive and PR-positive , it means it’s likely to respond well to hormone therapy. The HER2-negative part means that the HER2-targeted drugs aren’t going to be the primary focus of treatment, though sometimes they might be used in specific situations or in combination with other therapies. For this group, the main treatment strategies usually involve surgery, radiation (depending on the stage), and crucially, hormone therapy . The duration and specific type of hormone therapy will depend on various factors like your menopausal status, risk of recurrence, and other individual health considerations. Doctors might prescribe tamoxifen (often for premenopausal women) or aromatase inhibitors (typically for postmenopausal women). The goal here is to block the effects of estrogen and progesterone, essentially starving the cancer cells of the hormones they need to grow. This type of breast cancer generally has a more favorable prognosis compared to HER2-positive or triple-negative breast cancers because of the effectiveness of hormone therapies and often slower growth rate. However, vigilance is still key, and regular follow-ups are essential to monitor for any signs of recurrence or new developments. This type is often considered the most treatable with targeted hormonal interventions.

2. ER-Positive, PR-Positive, HER2-Positive (HR+/HER2+)

This subtype is less common than the HR+/HER2- group but is still significant. Here, the cancer is fueled by hormones and overproduces the HER2 protein. This means treatment needs to be a two-pronged attack . Guys, this is where things get complex but also where modern medicine really shines. The treatment plan will typically involve hormone therapy to block estrogen and progesterone, and HER2-targeted therapies to combat the HER2 protein. Often, chemotherapy is also used, especially if the cancer is more advanced or aggressive. The combination of chemotherapy with HER2-targeted drugs has shown remarkable success in improving outcomes for this group. The sequence and combination of therapies are carefully chosen by the oncology team based on the specifics of the cancer, its stage, and the patient’s overall health. For example, a patient might receive chemotherapy along with trastuzumab and pertuzumab, followed by continued hormone therapy. The development of these targeted therapies has been a game-changer, turning what was once a very aggressive cancer into a more manageable one for many patients. It requires a dedicated and often intensive treatment regimen, but the progress in this area is incredibly encouraging. The key here is hitting the cancer from multiple angles simultaneously.

3. ER-Negative, PR-Negative, HER2-Positive (HR-/HER2+)

This is a less common subtype, but it’s important to understand because it requires a different approach. Here, the cancer does not rely on estrogen or progesterone for growth (hence, ER-negative and PR-negative ), but it does overproduce the HER2 protein. This means hormone therapy won’t be effective. The primary treatment strategy will focus on HER2-targeted therapies , often in combination with chemotherapy . Since the cancer isn’t driven by hormones, the focus shifts entirely to blocking the HER2 pathway and using chemotherapy to kill rapidly dividing cancer cells. The HER2-targeted drugs like trastuzumab and pertuzumab are crucial here. Chemotherapy is typically administered first or concurrently with HER2-targeted agents. This approach aims to aggressively tackle the cancer by hitting it hard and fast. The prognosis for this subtype has also improved significantly with the advent of HER2-targeted treatments, although it can still be considered more aggressive than hormone-sensitive breast cancers. Understanding this distinct biological profile is essential, as it dictates that hormone-blocking drugs will not be beneficial, and the treatment focus must be on HER2 inhibition and cytotoxic chemotherapy.

4. ER-Negative, PR-Negative, HER2-Negative (Triple-Negative Breast Cancer - TNBC)

This category is often referred to as triple-negative breast cancer (TNBC) . It’s called