Pseudopalisading Necrosis: Understanding This Complex Condition

N.Austinpetsalive 76 views
Pseudopalisading Necrosis: Understanding This Complex Condition

Pseudopalisading Necrosis: Understanding This Complex Condition

Hey guys, let’s dive into a topic that sounds a bit intimidating but is super important to understand: pseudopalisading necrosis . You might have stumbled upon this term in a medical context, and it’s often associated with more serious conditions. But what exactly is it, and why should you care? Well, grab a coffee, settle in, and let’s break down this complex cellular phenomenon in a way that’s easy to digest. We’re going to explore its characteristics, where it’s found, and why it’s a significant finding for doctors and researchers. Understanding pseudopalisading necrosis isn’t just about memorizing a fancy medical term; it’s about grasping a key indicator that helps in diagnosing and managing a range of diseases, particularly those involving tumors. So, let’s get started on this educational journey and demystify pseudopalisading necrosis together.

What is Pseudopalisading Necrosis? A Deep Dive

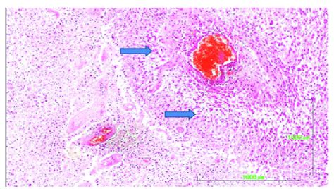
Alright, so when we talk about pseudopalisading necrosis , we’re essentially describing a very specific pattern of cell death observed under a microscope. Think of it as a visual cue for pathologists. Necrosis itself means cell death, which is a natural process in the body, but it can also happen due to injury or disease. Now, pseudopalisading is the really interesting part. Imagine a bunch of cells, like little soldiers, lining up in a row, or ‘palisade,’ around an area where other cells have died off – the necrotic core. This arrangement isn’t a true palisade formed by living cells trying to protect something; instead, it’s an artifact, a sort of illusion created by the way the cells react to the dying tissue. These lining cells are often tumor cells, and their arrangement around the necrotic zone is a tell-tale sign. This pattern is a hallmark of certain types of aggressive tumors, most notably glioblastoma , a very serious type of brain cancer. The cells closest to the necrotic area are starved of oxygen and nutrients, leading to their death. The cells that survive then get pushed outwards, creating that characteristic palisaded appearance. It’s like a frantic huddle of survivors around a disaster zone. This isn’t just a random scattering of dead cells; it’s an organized, albeit morbid, display that provides crucial diagnostic information. The presence of pseudopalisading necrosis strongly suggests a high-grade malignancy, prompting further investigation and guiding treatment strategies. It’s one of those microscopic features that can really change the game in terms of diagnosis and prognosis. So, remember, it’s the arrangement of cells around a necrotic area that gives this phenomenon its name and its diagnostic weight. It’s a complex dance of life and death at the cellular level, signaling underlying aggressive disease processes that need our attention.

Where Do We See Pseudopalisading Necrosis? The Common Culprits

So, you’re probably wondering, where exactly does this peculiar pattern of pseudopalisading necrosis pop up? While it can appear in various pathological scenarios, it’s most famously and frequently associated with malignant gliomas , particularly the most aggressive form, glioblastoma multiforme (GBM) . This is the big one, guys. GBM is notorious for its rapid growth and tendency to infiltrate surrounding brain tissue, and pseudopalisading necrosis is a key histological feature that helps pathologists identify it. But it’s not only GBM. You might also see this pattern in other high-grade gliomas, like anaplastic astrocytomas or anaplastic oligodendrogliomas, though it’s less common and usually less pronounced than in GBM. Beyond brain tumors, pseudopalisading necrosis can sometimes be observed in other types of cancers that have a tendency to outgrow their blood supply and develop necrotic centers. Think about some metastatic tumors that have spread to the brain from elsewhere in the body, like lung or breast cancer, although this is less typical. It can also, albeit rarely, be seen in non-neoplastic conditions, such as certain types of infarction (tissue death due to lack of blood flow) or even in some reactive processes. However, when a pathologist spots this classic arrangement, their mind immediately goes to glioblastoma or other high-grade gliomas. The reason it’s so linked to these aggressive tumors is their rapid proliferation. Tumor cells grow so fast that they often outstrip their blood supply, leading to areas of cell death (necrosis) in the center. The surviving tumor cells on the periphery then arrange themselves in that characteristic palisade around the dead zones, trying to expand outwards. This histological finding is crucial because it helps differentiate these aggressive tumors from lower-grade ones, which typically lack significant necrosis and vascular proliferation – another common feature in GBM. So, while the pattern can appear elsewhere, its strongest association and diagnostic significance lie squarely within the realm of aggressive brain tumors. It’s a really important clue in the diagnostic puzzle.

Why is Pseudopalisading Necrosis Significant? The Diagnostic Clues

Now, let’s talk about why pseudopalisading necrosis is such a big deal in the medical world, especially for pathologists and oncologists. Its significance boils down to one crucial factor: diagnostic accuracy and prognostic value . When a pathologist is looking at a tissue sample, particularly from the brain, and they spot this distinctive pattern of cells lining up around necrotic areas, it’s like finding a smoking gun. This finding dramatically increases the suspicion for a high-grade, aggressive malignancy, most notably glioblastoma multiforme (GBM) . Why is this so important? Because the diagnosis dictates the treatment. GBM is treated very differently from a low-grade glioma or a benign brain tumor. Identifying pseudopalisading necrosis helps confirm the aggressive nature of the tumor, which typically has a poorer prognosis. This finding, often coupled with other histological features like microvascular proliferation (abnormal growth of small blood vessels), is essential for grading the tumor. The World Health Organization (WHO) classification of brain tumors uses these features to grade gliomas, with GBM being a WHO Grade IV tumor. The presence of pseudopalisading necrosis is a key criterion for this highest, most malignant grade. Furthermore, understanding the presence and extent of pseudopalisading necrosis can also provide clues about the tumor’s behavior and potential response to treatment. Tumors with extensive necrosis and pseudopalisading might be more resistant to certain therapies, like radiation, because the necrotic core is less responsive. It can also indicate areas where the tumor is actively growing and invading surrounding tissue. This information is invaluable for neurosurgeons planning resection and for oncologists devising treatment plans, including chemotherapy and radiation. Essentially, pseudopalisading necrosis is not just a visual curiosity; it’s a critical piece of information that helps doctors make life-altering decisions for patients. It underscores the power of microscopic examination in understanding complex diseases and guiding patient care. It’s a testament to how subtle patterns in cells can reveal so much about underlying pathology.

The Cellular Mechanisms Behind Pseudopalisading Necrosis

Let’s get a little bit nerdy and talk about how pseudopalisading necrosis actually happens at the cellular level. It’s a fascinating interplay of tumor growth, oxygen deprivation, and cellular response. The primary driver behind this phenomenon is usually the rapid and uncontrolled proliferation of tumor cells, especially in aggressive tumors like glioblastoma . These tumor cells are metabolic powerhouses, but they often grow faster than the blood vessels can supply them with the necessary oxygen and nutrients. This leads to areas within the tumor, particularly in the center, becoming hypoxic (lacking oxygen) and anoxic (completely without oxygen). When cells are deprived of oxygen for too long, they undergo necrosis – programmed cell death. Now, here’s where the ‘pseudopalisading’ comes in. The cells immediately surrounding these necrotic cores are still alive, but they are under immense stress. They might be experiencing borderline oxygen levels, or they might be reacting to the chemical signals released by the dying cells. In response to this harsh microenvironment and possibly to signals from the dying cells, these surviving cells begin to align themselves in a row, or palisade, around the necrotic zone. This arrangement isn’t necessarily a coordinated effort; it’s more likely a result of cellular crowding and possibly some directional signaling. Think of it as the viable cells being ‘squeezed’ outwards by the dying core and potentially being influenced by growth factors or other signaling molecules released from the necrotic tissue. These signals might encourage proliferation or migration in a particular direction, leading to the linear arrangement. It’s a survival mechanism, of sorts, for the tumor as a whole – the viable cells are trying to push outwards and expand, even as parts of the tumor die off. The blood vessels in these areas are often abnormal, leaky, and disorganized, which contributes to the uneven blood supply and the formation of necrotic centers. Understanding these underlying cellular mechanisms is crucial for developing targeted therapies that can disrupt this process, perhaps by improving blood flow, targeting the signaling pathways involved, or making the tumor cells more vulnerable to oxygen deprivation. It’s a complex biological puzzle that researchers are continuously working to solve, with the goal of better treating these challenging diseases. The intricate dance between cell death and survival creates this critical diagnostic marker.

Challenges in Diagnosis and Research

While pseudopalisading necrosis is a significant finding, its identification and interpretation aren’t always straightforward, and this presents challenges for both diagnosis and ongoing research. One of the main hurdles is that pseudopalisading, while characteristic of high-grade gliomas like glioblastoma , isn’t exclusively found in these tumors. As we touched on, it can occasionally be seen in other aggressive cancers, or even in non-neoplastic conditions, albeit less frequently and typically with less distinct morphology. This means that while it’s a strong indicator, it’s rarely the sole basis for a diagnosis. Pathologists rely on a combination of features – including cellularity, nuclear atypia, mitotic activity, microvascular proliferation, and the presence of pseudopalisading necrosis itself – to arrive at a definitive diagnosis and grade. Distinguishing between a truly aggressive tumor with clear pseudopalisading and a reactive process or a lower-grade tumor that might have some areas of cellular crowding can sometimes be subjective and requires significant expertise. Furthermore, the quality of the tissue sample matters. If the sample is small or not representative, crucial areas might be missed. In research, studying pseudopalisading necrosis presents its own set of difficulties. Researchers often use animal models or cell cultures to study tumor biology. Replicating the complex microenvironment of the human brain, including the specific patterns of hypoxia and the intricate cellular interactions that lead to pseudopalisading, can be challenging in these experimental settings. Developing therapies that specifically target the mechanisms driving pseudopalisading requires accurate models that mimic the in vivo situation. Additionally, translating findings from the lab bench to clinical practice can be a long and arduous process. Despite these challenges, advances in imaging techniques, such as MRI, can sometimes provide in vivo clues that correlate with histological findings like necrosis. However, definitive diagnosis and grading still rely heavily on tissue biopsy. The ongoing quest to better understand and more reliably identify pseudopalisading necrosis is vital for improving diagnostic accuracy and developing more effective treatments for aggressive brain tumors. It’s a continuous effort to refine our understanding and tools.

Future Directions and Therapeutic Implications

Understanding pseudopalisading necrosis is not just an academic exercise; it has profound implications for future therapeutic strategies, especially for aggressive brain tumors like glioblastoma . Because this pattern signifies aggressive tumor growth, poor oxygenation, and cell death within the tumor microenvironment, it highlights specific vulnerabilities and targets that researchers are keen to exploit. For instance, the hypoxia associated with pseudopalisading necrosis can activate certain cellular pathways, like those involving HIF-1 (hypoxia-inducible factor 1), which promote tumor survival, angiogenesis (the formation of new blood vessels), and resistance to therapy. Developing drugs that inhibit HIF-1 or other hypoxia-activated pathways is a major area of research. The idea is to ‘normalize’ the tumor microenvironment or make the hypoxic cells more susceptible to treatment. Another therapeutic avenue involves targeting the abnormal blood vessels (microvascular proliferation) that often accompany pseudopalisading necrosis. Anti-angiogenic therapies, which aim to starve the tumor by cutting off its blood supply, have shown some promise, though their effectiveness in GBM has been mixed. However, understanding how these therapies interact with necrotic areas and pseudopalisading could lead to improved strategies, perhaps in combination with other treatments. Furthermore, the inflammatory response around the necrotic zones might also be a therapeutic target. Modulating the immune microenvironment could potentially enhance the body’s own ability to fight the tumor. Researchers are also exploring ways to use imaging technologies to better visualize and quantify pseudopalisading necrosis in vivo , potentially allowing for earlier diagnosis and more precise monitoring of treatment response without the need for repeated biopsies. Ultimately, the goal is to move beyond simply identifying this ominous sign and to use the knowledge gained from studying it to develop more effective, targeted therapies that can overcome tumor resistance, improve patient outcomes, and offer new hope for those battling these challenging diseases. The study of pseudopalisading necrosis is a crucial piece of the puzzle in unlocking better cancer treatments.

Conclusion

So, there you have it, guys! We’ve journeyed through the intricate world of pseudopalisading necrosis , unraveling what it is, where it’s found, and why it’s such a critical indicator in medicine. From its distinct microscopic appearance to its strong association with aggressive brain tumors like glioblastoma , pseudopalisading necrosis serves as a vital clue for pathologists and oncologists. We’ve seen how this pattern arises from complex cellular mechanisms driven by rapid tumor growth and oxygen deprivation, and how it significantly influences diagnosis, tumor grading, and ultimately, patient prognosis. While challenges remain in its precise identification and the replication of its complex environment for research, the insights gained are paving the way for novel therapeutic strategies. By targeting the pathways activated by hypoxia and abnormal vasculature, or by modulating the tumor microenvironment, scientists are working tirelessly to develop treatments that can overcome the aggressiveness signaled by pseudopalisading necrosis. It’s a testament to the power of detailed pathological examination and ongoing scientific inquiry. Keep learning, stay curious, and remember that understanding these complex medical terms can empower us all. Stay healthy, and I’ll catch you in the next one!