Hockey Stick Appearance In Echocardiography Explained

N.Austinpetsalive 128 views
Hockey Stick Appearance In Echocardiography Explained

Hockey Stick Appearance in Echocardiography Explained

Hey everyone, let’s dive into a cool visual quirk you might see during an echocardiogram (echo) – the hockey stick appearance . This isn’t about scoring goals, guys, but it’s a really neat way cardiologists can spot certain heart conditions. Essentially, it’s a specific pattern seen on the echo images that looks a bit like a hockey stick, and understanding it can be super helpful in diagnosing problems. So, what exactly is this phenomenon, and why does it matter? We’re going to break it down for you, making it easy to grasp, even if you’re not a medical whiz.

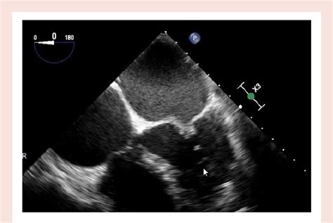
What is the Hockey Stick Appearance?

The hockey stick appearance in echocardiography refers to a characteristic shape or trajectory of a structure within the heart, most commonly seen when evaluating the mitral valve apparatus. Imagine a normal mitral valve leaflets opening and closing gracefully. Now, picture one of those leaflets, or a part of it, moving in a way that creates a sharp, angled curve, resembling the blade of a hockey stick. This isn’t a normal finding, and it usually points to something specific going on with the heart’s anatomy or function. It’s a visual clue that helps doctors understand how blood is flowing and how the heart valves are working. The key here is the abnormal movement and shape. It’s often associated with conditions that affect the mitral valve’s ability to close properly, leading to blood leaking backward (mitral regurgitation). This visual can be seen in various views during an echocardiogram, but specific angles are more likely to highlight this characteristic shape. The diagnostic power of this sign lies in its ability to suggest certain underlying pathologies without needing more invasive tests immediately. It’s a testament to how advanced ultrasound technology can visualize intricate details of the heart in real-time. We’ll get into the specific conditions it signals next, but for now, just remember it’s a visual cue of abnormal movement, often at the mitral valve, looking like a bent stick.

Causes of the Hockey Stick Appearance

Alright, so what actually causes this peculiar hockey stick appearance ? You guys might be wondering what’s going on under the hood to make the heart do this. The most frequent culprit, and the one most often associated with this finding, is mitral valve prolapse (MVP) . In MVP, one or both of your mitral valve leaflets bulge backward into the left atrium during systole (when the heart contracts). This bulging, or prolapse, can create that characteristic hockey stick shape, especially if the prolapse is significant or involves certain parts of the leaflet. Think of it like a sail catching too much wind and billowing backward – that’s kind of what’s happening with the valve leaflet. But MVP isn’t the only game in town. Other conditions can also lead to this appearance, though they might be less common. Sometimes, certain types of congenital heart defects (heart problems you’re born with) can affect the structure of the mitral valve or the surrounding tissues, leading to abnormal movement that mimics the hockey stick sign. For instance, conditions that cause thickening or scarring of the valve leaflets can make them stiffer and prone to abnormal motion. Infections like endocarditis can damage the valve, causing vegetations (small growths) that alter leaflet movement. Trauma to the chest, though less common, could also potentially injure the valve. In some cases, rheumatic heart disease , a complication of rheumatic fever, can lead to significant mitral valve damage and present with this visual. So, while MVP is the star player here, it’s crucial for doctors to consider the broader range of possibilities when they spot that hockey stick shape on the echo. They’ll look at other features on the scan to pinpoint the exact cause.

How is it Diagnosed?

So, you’re in the clinic, and the technician is performing an echocardiogram. They see this thing that looks like a hockey stick. What happens next? How do doctors actually nail down the diagnosis based on this visual clue? Well, the hockey stick appearance itself is a sign , not a final diagnosis. It’s like finding a footprint at a crime scene – it tells you someone was there, but you need more evidence to know who did it and why. The primary tool, of course, is the echocardiogram itself. The doctor will meticulously examine the echocardiogram images and videos . They’ll look at the degree of prolapse, the direction of the bulge, and whether it’s causing any leakage (regurgitation) of blood back into the atrium. They’ll measure the size of the valve leaflets, assess their thickness, and check for any signs of damage or inflammation. Different views on the echo machine (like the parasternal long-axis or apical four-chamber views) are crucial for visualizing this abnormality from various angles. Beyond just identifying the hockey stick shape, the cardiologist will assess the overall function of the heart . This includes looking at the size of the heart chambers, the strength of the heart muscle’s contractions (ejection fraction), and the pressure within the heart. They’ll also listen to your heart sounds with a stethoscope, as certain murmurs can be associated with mitral valve issues. If the echo findings are unclear or if there’s suspicion of other coexisting heart problems, further investigations might be ordered. This could include a transesophageal echocardiogram (TEE) , which provides even clearer, more detailed images of the heart by inserting an ultrasound probe down the esophagus. In some cases, an cardiac MRI or even cardiac catheterization might be used for a more comprehensive evaluation. But often, the echocardiogram, with its ability to show the hockey stick appearance and its associated functional abnormalities, is enough to guide treatment decisions. It’s all about piecing together the puzzle using the visual evidence from the echo and correlating it with the patient’s symptoms and other clinical findings.

Hockey Stick Appearance and Mitral Valve Prolapse (MVP)

Let’s talk more about the main event when it comes to the hockey stick appearance : Mitral Valve Prolapse, or MVP. This is where the connection is strongest, guys, and understanding this relationship is key. MVP is a pretty common condition where the heart’s mitral valve doesn’t close quite right. Normally, the two leaflets of the mitral valve snap shut tightly when the left ventricle contracts, preventing blood from flowing backward into the left atrium. But in MVP, one or both of these leaflets are a bit floppy and can bulge, or prolapse , backward into the left atrium during contraction. The hockey stick appearance on an echo is essentially a visual representation of this prolapse. Imagine the leaflet as a flag. When it prolapses, it doesn’t just flop; it can curve and bend in a way that distinctly resembles the blade of a hockey stick, particularly when viewed from specific angles during the echocardiogram. This visual is particularly evident when the prolapse is significant and causes the leaflet to extend unusually far back. It’s not just about the shape, though. The echocardiogram will also show what this prolapse is doing. Is it causing the valve to leak? This is called mitral regurgitation. The severity of the regurgitation can range from trivial to severe, and it’s a crucial part of assessing the impact of MVP. The hockey stick appearance often goes hand-in-hand with evidence of mitral regurgitation on the echo, like a backward jet of blood seen on Doppler imaging. For patients with MVP, the hockey stick sign is a clear indicator to the cardiologist that the prolapse is present and potentially significant. It helps them classify the severity of the MVP and decide on the best course of management. While not everyone with MVP will show a classic hockey stick appearance, its presence is a strong corroborating finding for the diagnosis and can help in understanding the mechanism of any associated mitral regurgitation.

Treatment and Management

So, you’ve had an echo, the hockey stick appearance has been noted, and it’s linked to something like mitral valve prolapse. What’s next on the treatment front? The good news is, for many people, especially if the MVP is mild and not causing significant symptoms or leakage, no specific treatment is needed beyond regular monitoring. Your doctor will likely want to keep an eye on things with follow-up echocardiograms to make sure the condition isn’t worsening. They might recommend lifestyle changes, like managing blood pressure and avoiding stimulants that could potentially worsen palpitations if you experience them. Medications might be prescribed if you have symptoms like shortness of breath, fatigue, or palpitations. Beta-blockers are often used to control heart rate and reduce palpitations. Diuretics might be used if fluid buildup is an issue. For more severe cases, particularly if there’s significant mitral regurgitation causing heart failure symptoms or other complications, surgery might be considered. Valve repair is generally preferred over valve replacement if possible, as it often preserves more heart function. However, if the valve is too damaged, replacement with a mechanical or biological valve will be necessary. The decision for surgery is based on a combination of factors: the severity of the regurgitation, the size and function of the left ventricle, and the presence of symptoms. It’s a big decision, and your cardiologist will discuss all the pros and cons with you. The presence of the hockey stick appearance on the echo helps the medical team understand the mechanism of the valve problem, which aids in tailoring the treatment plan. It’s all about personalized care, guys, ensuring the right approach for each individual’s unique heart situation. Regular check-ups are key, regardless of whether you’re on medication or just being monitored. Your heart health is a journey, and staying informed and engaged is the best way to navigate it.

Conclusion

To wrap things up, the hockey stick appearance in echocardiography is a distinct visual sign that often points towards mitral valve prolapse and can indicate the presence and severity of mitral regurgitation. It’s a classic example of how advanced imaging techniques provide invaluable insights into heart function and structure. While it might sound a bit technical, understanding this term helps demystify what your doctor might be seeing on your echo report. It’s a key finding that aids in diagnosis, helps assess the impact on blood flow, and ultimately guides treatment decisions, whether that involves simple monitoring, medication, or surgical intervention. So, the next time you hear about this