Diffusion-Weighted Imaging (DWI): A Comprehensive Guide

N.Austinpetsalive 46 views
Diffusion-Weighted Imaging (DWI): A Comprehensive Guide

Diffusion-Weighted Imaging (DWI): A Comprehensive Guide

Hey guys, let’s dive deep into the fascinating world of Diffusion-Weighted Imaging (DWI) . If you’re into medical imaging, or just curious about how we can see inside the human body in such detail, then you’re in the right place. DWI is a really special type of MRI sequence that’s become an absolute game-changer in diagnosing and monitoring a whole host of conditions, especially those affecting the brain. It’s all about tracking the random motion of water molecules – yep, you heard that right, water diffusion – within your tissues. This seemingly simple principle unlocks incredibly valuable information about tissue microstructure that other imaging techniques just can’t provide. So, buckle up, because we’re about to explore what DWI is, how it works, why it’s so crucial, and what amazing things it can reveal. We’ll break down the science behind it, look at its applications, and even touch upon its limitations and future prospects. Get ready to understand why DWI is such a powerhouse in modern diagnostic imaging.

The Science Behind Diffusion-Weighted Imaging

Alright, let’s get a bit nerdy and talk about the core science behind Diffusion-Weighted Imaging (DWI) . At its heart, DWI relies on a fundamental biophysical process: the Brownian motion of water molecules . Think of it like this: water molecules are constantly jiggling and moving randomly in all directions, kind of like popcorn kernels in a hot pot. In different tissues, this movement isn’t entirely free. It’s influenced by the cellular structure, barriers, and the overall environment. For instance, in healthy tissues, water molecules have a certain degree of freedom to move around. However, when a tissue is injured – say, due to a stroke where cells swell and die – these water molecules get restricted in their movement. They can’t diffuse as freely because the cellular environment has changed dramatically. DWI is specifically designed to detect these subtle (and not-so-subtle) differences in water diffusion. It uses strong magnetic field gradients to sensitize the MRI signal to this molecular motion. Essentially, it’s like sending out little magnetic ‘pings’ and seeing how far the water molecules have ‘wandered’ in a specific direction within a short timeframe. If the molecules have moved a lot, the signal is preserved. If their movement is restricted, the signal is attenuated, showing up as a bright spot on the DWI scan. This sensitivity makes DWI incredibly powerful for detecting pathologies that affect cell membranes and integrity, often before other imaging methods can pick up any changes. The magic lies in the apparent diffusion coefficient (ADC) , which is a quantitative measure derived from DWI scans. By comparing DWI images taken with gradients sensitizing diffusion in different directions, we can calculate the ADC map. This map provides a numerical value for how freely water is diffusing, offering an objective way to assess tissue health and disease. So, in a nutshell, DWI is all about mapping the microscopic diffusion of water to reveal the microscopic state of your tissues. It’s a sophisticated dance of physics and biology that gives us a unique window into cellular health.

Key Applications of DWI in Clinical Practice

Now, let’s talk about where the rubber meets the road – the clinical applications of Diffusion-Weighted Imaging (DWI) . This technique has revolutionized how we diagnose and manage a variety of medical conditions, particularly neurological ones. The undisputed champion application for DWI is the early detection of acute ischemic stroke . When blood flow to the brain is cut off, brain cells begin to die within minutes. This cell death causes a rapid influx of water into the cells, leading to cytotoxic edema and restricted diffusion. DWI is incredibly sensitive to this restriction, allowing clinicians to identify a stroke within minutes of symptom onset , often long before it’s visible on conventional MRI sequences like T1 or T2. This early detection is absolutely critical because it allows for timely administration of clot-busting medications (thrombolytics) or other interventions, which can significantly improve patient outcomes and reduce long-term disability. It’s like catching a fire when it’s just a spark instead of a raging inferno! But DWI’s utility doesn’t stop at stroke. It’s also invaluable in diagnosing and characterizing brain tumors . DWI can help differentiate between different types of tumors, assess tumor aggressiveness, and monitor response to treatment. For example, some aggressive tumors have areas of restricted diffusion due to high cellularity. Furthermore, DWI plays a key role in evaluating traumatic brain injury (TBI) . It can detect subtle areas of injury, such as diffuse axonal injury (DAI), which might be missed on standard imaging. It helps in understanding the extent of damage and guiding management strategies. Beyond the brain, DWI is also finding increasing applications in imaging other parts of the body. In liver imaging , it can help detect and characterize liver lesions, assess liver fibrosis, and monitor treatment response in conditions like hepatocellular carcinoma. In prostate imaging , DWI is crucial for detecting and localizing prostate cancer, improving the accuracy of biopsies and treatment planning. Even in cardiac imaging , DWI is being used to assess myocardial infarction (heart attack) and monitor heart tissue viability. The versatility of DWI is truly remarkable, offering diagnostic power across a wide spectrum of clinical scenarios. It’s a testament to how understanding the fundamental movement of water can lead to profound clinical insights.

Understanding DWI Sequences and Parameters

So, how do we actually get these amazing DWI images? It all comes down to understanding the DWI sequences and parameters . The most common DWI sequence is the spin-echo echo-planar imaging (SE-EPI) sequence. This is a fast imaging technique that allows us to acquire images quickly, which is crucial because patients can’t always hold their breath or stay perfectly still for long periods. The ‘echo-planar’ part means it acquires all the data for an image after just one radiofrequency excitation, making it super speedy. Now, the key to DWI is the application of diffusion gradients . These are magnetic field gradients that are intentionally applied in specific directions. We typically apply these gradients in pairs: one gradient that encourages water molecules to move (the ‘diffusion-sensitizing gradient’) and another identical gradient right after it that dephrases the signal if the molecules have moved. If the water molecules have moved significantly during the time between these gradients, their phase coherence is disrupted, and the signal intensity on the DWI image is reduced. If their movement is restricted, they remain more in phase, and the signal is preserved. The strength and duration of these gradients are controlled by a parameter called the b-value . The b-value essentially tells us how strongly the diffusion process is being probed. Low b-values (e.g., b=0 s/mm²) provide images that look more like conventional T2-weighted images and show the overall tissue signal. Higher b-values (e.g., b=1000 s/mm² or more) make the sequence highly sensitive to diffusion. DWI is typically performed with at least two different b-values (e.g., b=0 and b=1000). By acquiring images at these different b-values, we can calculate the ADC map . The ADC value quantifies the rate of diffusion. A low ADC value indicates restricted diffusion (bright on DWI), while a high ADC value indicates free diffusion (darker on DWI, assuming it’s not a T2 shine-through effect). We also need to consider diffusion directions . Water diffusion is anisotropic (direction-dependent) in some tissues, especially white matter in the brain where nerve fibers provide preferred pathways. Therefore, DWI is often performed with diffusion gradients applied in multiple directions (e.g., 6, 12, or even 32 directions) to capture this anisotropy. This is known as multi-directional DWI . Understanding these parameters – the sequence type, the b-value, and the diffusion directions – is essential for obtaining high-quality DWI scans and accurately interpreting the results. It’s a complex interplay that ultimately provides incredibly detailed information about tissue microstructure.

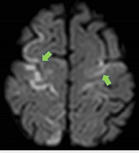
Interpreting DWI Scans: What to Look For

Interpreting Diffusion-Weighted Imaging (DWI) scans can seem a bit daunting at first, but once you understand the basic principles, it becomes much clearer. The most critical thing to remember is that restricted diffusion appears bright on DWI images . Why bright? Because the sequence is designed to attenuate the signal when water diffuses freely, and preserve the signal when diffusion is restricted. So, areas where water molecules can’t move easily – due to swollen cells, tightly packed structures, or other microstructural changes – will stand out as hyperintense, or bright, spots. The most classic example is an acute ischemic stroke . In the early minutes to hours after a stroke, brain cells become damaged, their cell membranes lose integrity, and water rushes in, causing them to swell. This swelling severely restricts the movement of water molecules. Consequently, the affected area lights up brightly on the DWI scan. This is often the very first sign of a stroke visible on MRI. However, it’s crucial to distinguish true restricted diffusion from other phenomena that can also cause bright signals. One important consideration is T2 shine-through . Some tissues naturally have a long T2 relaxation time, meaning they appear bright on conventional T2-weighted images. If these tissues also have some degree of diffusion, their signal might still appear bright on DWI, even if diffusion isn’t truly restricted. This is where the ADC map comes in as your best friend. Remember, the ADC quantifies the actual rate of water diffusion, independent of T2 effects. In areas of true restricted diffusion (like a stroke), the ADC values will be low . In contrast, areas that are bright on DWI due to T2 shine-through will have normal or even high ADC values. So, the combination of a bright DWI signal and a corresponding low ADC value is the hallmark of restricted diffusion and strongly suggests a pathological process like stroke or cytotoxic edema. Another important interpretation point is anisotropy . In tissues like the white matter of the brain, water diffusion isn’t the same in all directions. It tends to follow the direction of the nerve fibers. Multi-directional DWI and ADC tensor imaging can reveal these directional differences, which are crucial for understanding the integrity of white matter tracts. For instance, conditions that damage these tracts, like multiple sclerosis or TBI, can alter the pattern of diffusion. In tumors, DWI can help assess cellularity. Highly cellular tumors often exhibit restricted diffusion (bright on DWI, low ADC), which can help differentiate them from less cellular tumors or other lesions. So, when you’re looking at a DWI scan, always look at the DWI image and the ADC map together. The DWI highlights potential areas of concern, and the ADC map helps confirm whether the signal change is due to true diffusion restriction or something else. It’s this combined interpretation that makes DWI such a powerful diagnostic tool.

Challenges and Future Directions in DWI

While Diffusion-Weighted Imaging (DWI) is an incredibly powerful tool, it’s not without its challenges, and there’s always exciting research pushing its boundaries. One of the main challenges is motion artifact . Because DWI is so sensitive to the movement of water molecules, any movement of the patient – breathing, heartbeat, or even voluntary movement – can create distortions and artifacts on the images, making interpretation difficult. This is especially problematic in certain body parts like the abdomen or chest, and with pediatric or uncooperative patients. Researchers are constantly working on faster imaging techniques, better motion correction algorithms, and even prospective gating methods to minimize these artifacts. Another challenge is interpreting subtle findings . While obvious strokes light up brightly, more subtle pathologies or early stages of disease can present with less dramatic changes. Differentiating true pathology from normal variations or other imaging artifacts requires significant expertise. Furthermore, standardization across different MRI scanners and protocols can be an issue, making it harder to compare results from different institutions or over time. The development of quantitative MRI techniques, including advanced diffusion models beyond the simple ADC map, aims to address this. These advanced models, such as diffusion tensor imaging (DTI) and diffusion kurtosis imaging (DKI), provide more detailed information about the complex diffusion processes and tissue microstructure. For instance, DTI can map white matter tracts, and DKI can detect subtle changes in non-Gaussian diffusion, which may be indicative of early cellular damage. The future of DWI also lies in its integration with other advanced MRI techniques, like perfusion imaging , to provide a more comprehensive assessment of tissue status, especially in stroke evaluation. Machine learning and artificial intelligence (AI) are also poised to play a significant role. AI algorithms can potentially automate the detection of abnormalities on DWI, improve image quality, and help in more accurate and reproducible quantification of diffusion parameters. We’re also seeing DWI being explored in new clinical areas, like fetal MRI and cardiac applications , further expanding its reach. The continuous development in hardware, pulse sequences, and analytical methods promises to make DWI an even more indispensable tool in the diagnostic arsenal, offering deeper insights into tissue physiology and pathology than ever before.

Conclusion: The Indispensable Role of DWI

In conclusion, guys, Diffusion-Weighted Imaging (DWI) has firmly cemented its place as an indispensable technique in modern medical imaging, particularly in neurology. Its ability to track the microscopic movement of water molecules provides a unique and highly sensitive window into tissue microstructure and cellular integrity. From revolutionizing the early detection of acute ischemic stroke , where minutes truly count, to characterizing brain tumors , evaluating traumatic brain injury , and extending its reach into organs like the liver and prostate, DWI’s clinical impact is undeniable. The combination of bright DWI signals indicating restricted diffusion and low ADC values on corresponding maps offers a powerful diagnostic signature for a range of pathologies. While challenges like motion artifacts and the need for expert interpretation persist, ongoing advancements in faster sequences, quantitative analysis (like DTI and DKI), and the integration of AI are continuously enhancing its capabilities. DWI isn’t just another imaging sequence; it’s a sophisticated biophysical probe that reveals the subtle hallmarks of disease at a cellular level. As technology progresses, we can expect DWI to become even more precise, more widely applicable, and more critical in guiding clinical decisions, ultimately leading to better patient care and outcomes. It’s a testament to how understanding fundamental physics can translate into life-saving medical applications.